Features
Manage Your Data
- Upload medical imaging data easily and securely
- Control who has access to the data
- View data with our globally available browser-based workstations
Train Expert Annotators
- Create sets of questions that users must answer about a dataset
- Invite clinical experts take part in the training
- Deliver immediate feedback on performance
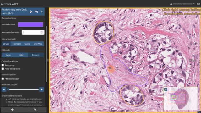
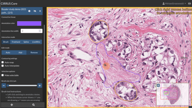
Gather Annotations
- Create your own set of questions for your dataset
- Customise the hanging protocols and overlays
- Use our intuitive workstations to view and report the images
Benchmark Algorithms
- Manage your annotated training, test and validation data sets
- Gather machine learning solutions for your clinical question
- Objectively assess the performance of algorithms
Deploy Your Algorithms
- Upload algorithm container images
- Manage access for clinical and non-clinical researchers
- Upload data for execution by your algorithm on our infrastructure




